作者: 蔡昇達
中年的陳先生,上次回診時在診間哭了,因為錯過了一個腦部追蹤檢查,多花了一趟計程車錢,被兒子扣零用錢處罰......
是今年農曆年前最後一台經動脈取栓術,陳先生,晚上 11 點時突然左手左腳無力,跌在地上,先回床上休息,零晨一點多才叫救護車,被送到我們急診室,腦中風團隊迅速診斷為右側內頸動脈梗塞,並清楚的向病人本人解釋(家屬皆在外地),陳先生果斷的自己簽下同意書,團隊隨即啟動經動脈腦血栓去除術,87 分鐘(Door to puncture time)完成右側股動脈穿刺。
血管攝影做進去看到右側近端內頸動脈嚴重狹窄,但幸運的是遠端血流仍在,於是在嚴重狹窄處放置支架,讓病人有充足的血流供應腦部。
圖二. 術前攝影見左側近端內頸動脈嚴重狹窄,術後置放了支架,管徑變寬了很多
圖三. 術後兩天追蹤頸動脈超音波見支架通暢、血流良好
記得當天做完手術是零晨四點多,在辦公室趴一下即參加七點多的全院演講,之後八點多看門診,覺得當天格外疲累,半夜出來緊急手術實在是很耗體力的一件事。
所幸病人恢復良好,至加護病房後左手左腳的力氣即有改善,核磁共振仍顯示右腦中等範圍的梗塞,但血管有通,病人的循環足夠其使用。之後轉病房,做了 14 天復健,再下轉到東區分院接續復健(PAC)。
陳先生相當拚命,希望早點回到正常生活、甚至工作,在東區分院依 PAC 計劃再住了一個多月,可以自行走路不必拿枴杖、生活可自理不必家人照顧,三個月時 mRS (modified Rankin Scale) 為 2 分。
註: mRS 0= 無症狀; 1= 有症狀但不影響生活,可工作; 2= 生活可自理,但無法回到先前的工作; 3= 生活無法自理,但走路不需旁人協助; 4= 需旁人協助才可走路; 5= 臥床、需人長期照顧; 6= 死亡。
門診回診時陳先生講述他如何努力復健,希望早日回去工作,他說「之前都只知道拚命工作賺錢,誰知道要保養身體?」而這是許多中年男性的心聲。
因為頸動脈放置支架,門診再安排追蹤檢查,但病人不慎錯過檢查時間,沒有做成功,因為往返多花了計程車費,被兒子扣零用錢。回診時病人在診間落淚: 「之前在工地工作,每天攀爬鷹架,辛苦賺錢養一家人,中風後無法工作,只因為錯過一個檢查,就被兒子扣錢,很不甘心!」
此時才理解到 mRS 1 和 2 差距原來是這麼的大!像陳先生這樣,三個月後恢復到 mRS= 2,其實已經算是很好的結果,但仍然無法工作 (mRS= 1 才可工作),因此經濟仍然無法獨立,就會像這樣,被兒子扣錢,很沒有尊嚴!
除此之外,陳先生出院後會騎機車去關心同時期中風的病友林先生(一起做復健時認識),林先生中風範圍小很多,但傷到內囊,所以同樣的復健時間,仍無法獨立行走,皆需家人協助。林先生家人回診時跟我分享陳先生的善行,從住院期間到出院皆會鼓勵他們,讓林先生有動力繼續復健。
今天是中風後第五個月回診,陳先生僅左手掌稍微無力,雖然還沒回去工作,但相信這一天不會太久,陳先生很快又可以經濟獨立,重拾尊嚴!
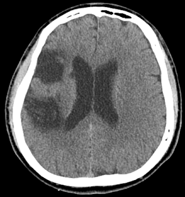
圖四. 陳先生中風的區域為右側中大腦動脈供應區,但很巧的是,掌管左手左腳力氣的「運動皮質」(Primary motor cortex) 僅被傷到一點點,可以說閃過了這次的中風,我想是因為他個性善良,過去做了許多的善事




