作者: 蔡昇達
中秋節的急診室,王小姐第一句話就問:「我現在這樣和打疫苗有沒有關係?」我回答:「可能有關係,我們再幫妳查清楚。」聽完王小姐突然變得激動、眼眶變濕:「這陣子看了那麼多醫師,第一次聽到這樣的回答,大部份都是還沒聽完敘述就直接說『這和疫苗沒有關係』,我們沒有要怪罪政府或醫師,我只是想了解我的身體到底怎麼了?」我也嚇了一跳,原來這是許多民眾的心聲。
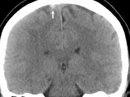
圖一、腦部電腦斷層,見右側皮質靜脈血栓,白色箭頭指的白色圓點處
王小姐打完 AZ 疫苗後第七天開始頭痛、第 13 天開始脖子疼痛,先至外院門診,抽血發現 D-D 雙合試驗(D-dimer)顯著升高,高達 27,500.8 ng/mL,正常值應小於 500 ng/mL、且血小板數值下降,為 77 x 103/µL,正常值應在 130 至 400 x 103 /µL 間,服用頭痛藥物後症狀無緩解,於四天後因左手遲鈍,來到本院急診,急診室的麒亘學長馬上就想到腦靜脈栓塞,緊急安排了腦部電腦斷層,見到右腦頂葉皮質靜脈血栓,併有腦組織腫脹,立刻聯絡神經內科醫師,神經內科柏妤醫師也隨即安排緊急處理,加做打顯影劑的核磁共振,評估是否要緊急取栓,完成後立刻打給我,討論後將她收治加護病房,並於七小時又55分後開始施打免疫球蛋白,住院後頭痛漸改善,抽血亦發現 D-D 雙合試驗指數顯著下降、血小板數值穩定上升,住院 33 天後出院,出院時僅左手略為遲鈍,及偶爾發生頭痛。
圖二、病程簡圖
查閱疫苗併發症相關文獻,有篇 2021 年 9 月發表在 JAMA 的文章提到,做疫苗併發症的評估是為了確認疫苗的安全性、「維持民眾的信任」、及讓大眾知道,原文如下:
這也是我們寫這個故事的用意,清楚的記下整個過程、分析與疫苗的關聯性,並發表至國際期刊,也回答病人的困惑。
疫苗產生的靜脈血栓,是因誘發了血中的抗血小板第四因子抗體(anti-platelet factor 4 (PF4) antibodies)而導致血小板的減少及體內血栓的產生,王小姐的 PF4 抗體一開始為 3.4165,陽性,正常值應該小於 0.4 (Immucor GTI Diagnostics, Waukesha, Wisconsin, USA),出院後門診追蹤時已降至 0.5845,此時病人左手已完全復原,回到職場工作。
感謝急診科麒亘、彥宏學長迅速看出問題、住院醫師柏妤迅速的聯絡、血腫科美辰會診、顧 ICU 的芳慈協調 IVIG,病人在抵達急診後第七小時55分開始治療,雖然比我們跑取栓的 Door to puncture 慢了很多,但在這種特殊的疾病,實在相當快。感謝護理師密切注意生命徵象、意識狀態,也陪王小姐聊天,緩解她緊張的情緒,感謝檢驗科團隊,幫我們完成 Anti-PF4 的測定,出院後病人送到門診的花,是向整個團隊致謝,急重症現場就是如此,要靠團隊才能治癒困難的疾病。
圖三、出院後王小姐送到門診的花
當天深夜,還要感謝許多被我吵起來的人: 因為沒有碰過這種病,立刻詢問新竹分院的錢駿學長、瑋翎姐,問用藥和緊急處置、也打給放射科陳威良主任,討論是否要進去做靜脈取栓、還有博士班的指導教授,Wet lab 專家林以文老師,被我吵起來確認檢體的管子、處理方法,這三通關鍵的電話讓我確立了方向,迅速穩定病情。
發病後至今已屆滿一年,停用了藥物,工作正常,正式從神經內科畢業,這次給她的不是藥單,是她的故事: 期刊正式刊出的版本
圖四、期刊刊出的照片,點上圖可連結到全文
WJCC 並不是很高分的期刊,但有被收錄進 SCI,且有嚴謹的審稿制度,在整個投稿的過程中,歐美的審稿者對王小姐的故事,共提出了三十幾條的問題,一一回覆後終於順利刊登,我想對王小姐最大的意義是「國際上的認同」,省去許多時間再舉證自己的病是施打疫苗的併發症。但不是所有病人都像王小姐這麼幸運,大多數的疾病沒有辦法像這樣為國際期刊所接受。
要證明疾病和疫苗有關或是無關,是相當困難的,除了醫療之外,還有補助、保險的問題,非常複雜,每一關都在評估,「到底和疫苗有沒有關聯?」
這不是台灣第一例的 VITT,但我們做了詳細的病程記錄、抽血數據追蹤等,可以提供臨床醫師重要的訊息,幫忙到未來的病人。
新冠疫情可能不久後就會過去,但這幾年的許多故事將記在這一代人們的心中,或許 17 年後,我們還需要這幾年學到的經驗,再面對下一場全球大瘟疫。











.png)






